Skip to main content
Dr Murali Mohan, Neurosurgeon

Dr. Murali Mohan S

Precision in Surgery. Passion in Innovation. Purpose in Care.

MBBS, DNB (Neurosurgery)

23+ Years in Neurosurgery

30000+ Patients | 8000+ Surgeries

23+ Years in Neurosurgery

30000+ Patients | 8000+ Surgeries

Sparsh Hospitals, Hennur
Synapse Neuro Center, Jayanagar
Synapse Health Care, Yelahanka
LinQ Card

About Dr. Murali Mohan S

Dr. Murali Mohan S is a leading Neurosurgeon, Healthcare Entrepreneur, Innovator, and an influential thought leader advancing brain and spine care. With over 8,000 brain and spine surgeries performed. He has earned recognition for his surgical expertise in Complex Neurosurgical Procedures. He holds a patent for an indigenous stereotactic frame, founded Dr. Klinisch Research Pvt Ltd. for clinical research, and created LinQMD, an AI-powered platform for doctors’ digital presence. He currently serves as Lead Consultant, Neurosciences at Sparsh Hospital, Hennur. Beyond the operating room, Dr. Murali is a TEDx speaker, blogger, biker, and astronomy enthusiast—leading with ‘clarity, curiosity, and vision across healthcare innovation, research, and communication.


As Lead Consultant, Neurosciences at Sparsh Hospital, Hennur—a Centre of Excellence for Neurosciences—Dr. Murali Mohan S delivers advanced, patient-focused care across brain and spine surgery. His expertise spans brain tumors, skull base surgery, craniovertebral junction stabilization, spinal surgeries including deformities and complex spine reconstructions. With over 8,000 surgeries, he blends microsurgical precision, minimally invasive techniques, and compassionate care to optimize neurological outcomes. Dr. Murali also consults at Synapse Clinics in Jayanagar and Yelahanka, extending expert access beyond hospital walls. Patients trust him for his surgical skill, clear communication, and unwavering commitment to their recovery journey.


https://d2vvc091k8tmib.cloudfront.net/s3fs-public/2025-08/138.jpg

Dr. Murali Mohan S's Areas of expertise

Dr. Murali Mohan S offers comprehensive neurosurgical expertise across brain and spine conditions, combining advanced surgical techniques with patient centered care. His work spans pediatric, adult, and geriatric neurosurgery, with a special focus on complex, minimally invasive, and reconstructive procedures. With over 8,000 surgeries, Dr. Murali is trusted for delivering precision outcomes across a wide spectrum of neurological conditions. 

Brain Tumor Management: Surgical and non-surgical approaches to diagnose and treat benign and malignant brain tumors to improve outcomes and quality of life.

Deep Brain Stimulation (DBS) for Parkinson’s Disease: A minimally invasive procedure that implants electrodes to help regulate abnormal brain activity, improving motor symptoms.

Spinal Deformities Correction (Scoliosis, Kyphosis, Degenerative Disorders): Surgical treatment to straighten or stabilize abnormal spinal curvatures and degenerative changes for pain relief and function.

Complex Spine Surgeries (Cervical and Lumbar Spondylosis, Total Disc Replacement): Advanced procedures to treat degenerative disc disease and spinal instability, restoring movement and reducing pain.

Pediatric Brain and Spine Surgeries: Specialized surgeries for neurological conditions in children, including tumors, congenital anomalies, and traumatic injuries.

Craniovertebral (CV) Junction Disorders: Surgical management of disorders affecting the skull-base and upper cervical spine to prevent neurological damage.

Back Pain and Disc Disorder Treatment: Medical and surgical options to relieve pain caused by disc herniation, degeneration, or spinal instability.

Brain and Spine Infection Management: Diagnosis and treatment of infectious conditions like abscesses or meningitis affecting the brain and spinal cord.

Spasticity and Epilepsy Treatment: Managing muscle stiffness and seizures through medication, surgical, or neuromodulation techniques.

Minimally Invasive Neurosurgical Techniques: Use of small incisions and advanced technology to reduce surgical trauma and enhance recovery.

Head Injury Care: Emergency assessment and surgical intervention to manage traumatic brain injuries and intracranial hematomas.

Osteoporotic Spine Fractures Management: Vertebral augmentation procedures like kyphoplasty and vertebroplasty to stabilize fractures and reduce pain.

Geriatric Spine Surgery: Customized surgical care tailored for older adults, focusing on safety, rehabilitation, and preserving independence.

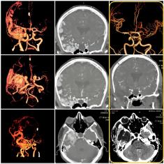
Aneurysm and AVM (Vascular Neurosurgery): Microsurgical techniques to clip aneurysms and remove arteriovenous malformations, preventing hemorrhage.

Stroke Prevention Surgery: Procedures like carotid endarterectomy to reduce the risk of stroke caused by narrowed arteries.

Emergency Neurosurgery: Immediate surgical interventions for life-threatening conditions like traumatic injuries, bleeding, or strokes.

Focused Neuro ICU Care: Intensive management of critically ill neurological patients to optimize recovery and prevent complications.

Neurorehabilitation: Long-term therapy programs aimed at restoring function and improving quality of life after neurological injuries.

Dr. Murali Mohan S has contributed extensively to neurosurgical research, clinical publications, and academic discourse, with award-winning papers, peer-reviewed journal articles, and textbook chapters. His work reflects a deep commitment to advancing neurosurgical knowledge and practice.

 

Award Paper Presentations

  • Suboccipital Segment of Vertebral Artery – A Cadaveric Study Neurological Society of India Conference, Madurai (Dec 2006)

  • Rhino-cerebral Fungal Granuloma, Skull Base Society of India & WFNS Conference, New Delhi (Oct 2007)

  • Surgery of Craniovertebral Junction, Skull Base Society of India & WFNS Conference, Jaipur (Oct 2016)

 

Journal Publications

  • Suprasellar Germ Cell Tumor… J Pediatr Endocrinol Metab, 2003

  • Intracranial Epithelioid Hemangioendothelioma… Childs Nerv Syst, 2008

  • Pediatric Medulloblastoma: Review of 67 Cases… Asian J Neurosurg, 2008

  • Suboccipital Segment of Vertebral Artery… Neurol India, 2009

  • Invasive Rhino-Cerebral Fungal Granuloma… Neurol India, 2010

  • Morphometric Analysis of Thoracic Pedicle… Neurol India, 2010

  • Intraoperative Angiography in Cerebral Aneurysm Surgery… Neurol India, 2010

  • "A Useful Noise in the Operating Room"… J Cerebrovasc Sci, 2015

  • “Retraction-less Aneurysm Surgery”… J Cerebrovasc Sci, 2015

  • Pial AV Fistula Presenting as Lobar Hemorrhage… J Cerebrovasc Sci, 2015

  • Intraventricular Gliosarcomas… World Neurosurg, 2016

 

Textbook Chapters

  • Surgical Anatomy of Posterior Third Ventricle – Textbook of Operative Neurosurgery

  • Empty Sella Syndrome – Ramamurthi & Tandon Textbook of Neurosurgery

  • Acoustic Neurofibroma – Ramamurthi & Tandon Textbook of Neurosurgery

  • Stereotaxy for Brain Tumors – Ramamurthi & Tandon Textbook of Neurosurgery

  • Diencephalic Syndrome – Ramamurthi & Tandon Textbook of Neurosurgery

  • Bacterial Infections of the Spine – Text of Neurosurgery

  • Tuberculosis of CNS – Text of Neurosurgery

  • Information Systems for Knowledge Management… – Knowledge Organisation

  • Anatomy of the Sellar and Suprasellar Region – Textbook of Endocrinology

  • Pituitary Adenoma; Growth Hormone Secreting Pituitary Adenomas; Corticotroph Adenomas; Prolactinoma; Other Pituitary Adenomas – Textbook of Endocrinology

  • Endoscopic Lumbar Discectomy; Endoscopic Surgery for Pituitary Tumors – Clinical Neuroendoscopy

 

Professional Memberships

  • Neurological Society of India

  • Skull Base Surgery Society of India

  • Association of Spinal Surgeons of India

  • Bangalore Neurological Society

  • Indian Federation of Neuro-endoscopy

  • Indian Association of Pediatric Neurosurgery

  • MBBS - 2001, Rajiv Gandhi University of Health Sciences, Karnataka.
  • DNB Neurosurgery - 2008, National Board of Examinations, New Delhi.

 

Dr. Murali Mohan S is a senior consultant Neurosurgeon from Bengaluru. Having completed his graduation from MS Ramaiah Medical College, RGUHS, He received his Neurosurgical training under Prof B Ramamurthi DSc (the father figure of Indian Neurosurgery) and the team of Senior & accomplished Neurosurgeons: Dr Ravi Ramamurthi, Dr MC Vasudevan, Dr Krish Sridhar and Dr Anil Pande, at the Post graduate Institute of Neurological Surgery, ALNC, VHS Hospital, Chennai. 

Dr Murali gained further expertise in this field by working with renowned Neurosurgeons - Prof RM Varma, Dr AS Hegde, Dr Venkataramana NK, Dr Balaji Pai, Dr Ravi Gopal Varma and Doyen of Spine Surgery - Dr Thierry Marnay (Montpellier, France).

Book Appointment

Major Akshay Girish Kumar Rd, Yelahanka Satellite Town, Yelahanka, Bengaluru, Karnataka 560064

Clinic Hours:
  • Monday
  • 03:00 PM to 04:30 PM

771, 10th Main Road, 34th Cross Rd, 4th Block, Jayanagar, Bengaluru, Karnataka 560011

Clinic Hours:
  • Tuesday
  • 03:30 PM to 04:30 PM

HBR Layout, Hennur Road, Bengaluru - 560 043

Clinic Hours:
  • Monday - Friday
  • 10:00 AM to 01:00 PM






Patient Reviews

Dr.Murali Mohan S

Google 4.9/5 (299 reviews)
AI

AI Summary

5 reviews • 5★

Loading...
Deepthi PR

Deepthi PR

3 months ago

We are truly greatful for the care and expertise shown by the doctor. My mom was suffering with lumbar disc bulge and nerve compression. She couldn't walk at all. Doctor Murali mohan explained the case very well and suggested for the surgery . Doctor and his team did surgery, everything went well.
Nandini Kutty

Nandini Kutty

2 months ago

This review which I am writing bottom of my heart. ♥️My name is Nandini I was suffering from sciatica L-4 L-5 Disc bulge we were consulting doctor Nithin kumar (Neurology) From 4 to 5 Years. The pain increased more. And Dr. Nithin kumar sir suggested to operation. Dr. Advised me to get operation in
Subramanian Sundararajan

Subramanian Sundararajan

2 months ago

I am sharing my experience so it may help someone who is going through the same uncertainty I faced. For almost two months, I had a serious vision problem in my left eye. If I closed my right eye, my left side looked extremely dark and blurred, and I could not read letters clearly. I consulted seve
Anudeepikas

Anudeepikas

3 months ago

This Review which I'm writing from bottom of my heart ❤️.My Name is Darshan i was diagonised back pain 😢 which i had nerve compression on L4L5 and discbulge. Firstly I contacted hosmat hospital 🏥 hennur I took the MRI scan Spoke to the Dr told its severely compressed Dr told you have get operated. A
ashwini kavtekar

ashwini kavtekar

a month ago

I was diagnosed with 2 disc bulge and having serious sciatica problem at its peak, tried many physio sessions and other alternative which dint help, the pain was so terrible that i gave up at the end. Visited many neuro specialist who just treated the pain. At the end one of our family friend sugges

Conditions and Treatments

expertise
Neurosurgery

The stress of a Neurosurgical procedure is enormous, on the family and particularly the individual. Effective communication with empathy is the key for successful establishment of rapport and infusing confidence in the patient. Today, anesthesia has become safe. Technical advancements and expertise has made Neurosurgery, a very safe procedure. Neurosurgery includes surgery to brain ( cranial surgery), surgery involving the spine and spinal cord ( Spinal surgery) and surgery of the Peripheral Nerves.

expertise
Brain Tumour

Brain tumours are a daunting reality that affects thousands of lives every year. These tumours can impact anyone, regardless of age, gender, or background, bringing with them not just physical challenges, but emotional and psychological burden as well. However, with advancements in medical science, early detection, innovative treatments, and comprehensive care, the prognosis for many patients have transformed over the years. As a neurosurgeon, I have the profound honour of working on the front lines of brain health, where I witness the incredible strength and resilience of patients facing the formidable challenge of a brain tumour diagnosis, on a day to day basis. further reading: 'from Brace to Embrace' https://drmurali.blog/2024/06/07/from-brace-to-embrace/

expertise
Meningioma Surgery

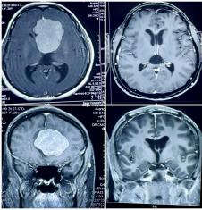
A meningioma is a tumour that grows from the meninges — the protective membranes that cover the brain and spinal cord. Most meningiomas are benign (not cancer) and slow growing; however, some can be cancerous. They are slow growing and often take a long time to cause clinical symptoms. Brain scan such as an CT scan and MRI scan clinches the diagnosis. Surgical excision of the tumour is the first line of treatment, which often offers cure. Surgery is safe today, with use of high end operating microscopes, neuro navigation, intra-operative neurological monitoring and safe neuro-anesthesia.

expertise
Pituitary adenoma / Pituitary tumour

Pituitary is the master gland of the body which controls all the other glands secreting hormones in our body. It is under the direct influence of the brain. This small pea sized gland can become a seat for tumour, known as pituitary adenoma. These tumours can cause visual field defects including blindness, headache, hormonal imbalance which includes infertility, cushing's disease, gigantism, acromegaly, galactorrhea, obesity or anemia. They can also cause sudden severe headache with sudden blindness including endangering life when they bleed within - known as pituitary apoplexy. These tumours can be cured by total surgical excision which are performed endoscopically through the nose - often referred to as transsphenoidal endoscopic excision. It is a safe, scar less procedure. With surgical treatment and often adjuvant hormonal replacement, a person with pituitary adenoma can lead a near perfect life, today!

expertise
Acoustic neuroma / schwannoma surgery

Acoustic neuroma is a benign (non cancerous) tumour that occurs from the hearing nerve. These tumours grow to a big size and can press upon vital neuro structures such as the cerebellum and brainstem. They can also cause hydrocephalus, a condition where there is excess water within the brain. Early diagnosis offers excellent non surgical options such as radiosurgery. However, in large size tumours, surgical excision is required. Safe surgical excision with preservation of neurological functions including facial nerve functions and hearing preservation is possible with use of IONM (Intraoperative neurophysiological monitoring).

expertise
Stroke / Golden hour in stroke

Stroke can be reversed if you reach hospital with in ‘golden hour‘. Stroke is a devastating disease that cripples not only the person but the family. If untreated or once the stroke is complete – the person is left disabled for life, with paralysis and or difficulty to speak & communicate. In other words, this amounts to professional discontinuity, disconnect from social life and life long dependency. Clot dissolving drugs can be used within 4.5 hours of the onset of stroke, up-to 6 hours, the clot can be mechanically removed by Intervention. Depending on specific cases this intervention can be performed up-to 12 hours.

expertise
Brain Hemorrhage / ICH / AVM & Aneurysm

A brain aneurysm (also called a cerebral aneurysm or an intracranial aneurysm) is a ballooning arising from a weakened area in the wall of a blood vessel in the brain. If the brain aneurysm expands and the blood vessel wall becomes too thin, the aneurysm will rupture and bleed into the space around the brain. Treatment includes Surgical clipping or Neuro-interventional coiling of the aneurysm, followed by treatment of vasospasm, cerebral edema and supportive care. AVM's are vascular malformations with similar risks of fatal bleed.

expertise
Awake Craniotomy for brain tumours; Glioma

Brain tumours when they occur in very vital regions of the brain, can pose formidable challenge to the surgeon. Many a times, complete removal of the tumour can result in paralysis or loss of speech! Awake craniotomy is a technique, where the patient stays awake during the surgical procedure. Before the tumour is removed, the surface function of the brain is mapped by IONM - Intraoperative Neurophysiological Monitoring. While the tumour is being operated and removed, the patient engages in conversation with surgical team, and is able to move the hands and legs. This way, the marked vital areas are avoided and only the safe zones are resected.

expertise
Trigeminal Neuralgia

The main symptom of trigeminal neuralgia is sudden attacks of severe, sharp, shooting facial pain that last from a few seconds to about 2 minutes. The pain is often described as excruciating, like an electric shock. The attacks can be so severe that you're unable to do anything while they're happening. Evidence suggests that in up to 95% of cases, the cause of trigeminal neuralgia is pressure on the trigeminal nerve close to where it enters the brain stem. MVD ( Micro -vascular decompression) is the best choice of treatment. Its a day care / short stay procedure. In MVD, the offending vessel which is compressing the trigeminal nerve is dissected off from the nerve and is kept away by inter-positioning a teflon material.

expertise
DBS/ Parkinson Disease/ Movement Disorder

Deep brain stimulation (DBS) is a surgical therapy used to treat certain aspects of Parkinson’s disease (PD). It mostly addresses the movement symptoms of Parkinson’s and certain side effects caused by medications. DBS may also improve some non-motor symptoms, including sleep, pain, and urinary urgency. It is important to understand that DBS can only help relieve symptoms, not cure or stop disease progression.

expertise
Head Injury

Head Injuries are unfortunate incidents. They not only affect the person, but also deeply involve the family and extended contacts: financially, emotionally and physically. It is a social problem. Good governance can ensure good roads and enforcement of strict law can avoid road traffic accidents. Other reasons could be fall, assault or sports injuries. The sad truth is that the population that is involved in majority of the head injuries fall in young and socially productive age group, who often are bread winners for their family and cream of the Nation. TIME IS BRAIN. If treatment is sought in timely manner, majority of the head injury patient can not only be saved, but can recover to full functional potential!

expertise
Hydrocephalus

Hydrocephalus is water filled in the brain! This causes increased intracranial tension resulting in death. This condition can either occur as primary problem, or at times it occurs as a consequence to brain tumours or neuro infection. Traditional treatment involves placing the shunt tube connecting the ventricular cavity to the peritoneal cavity in the abdomen. Modern day alternatives includes Endoscopic surgeries such as third ventriculostomy, septostomy and aqueductoplasty. All are safe procedures, and can be done as daycare or short stay procedure.

expertise
Craniosynostosis

Craniosynostosis is a condition where the skull bones fuse very early in life, resulting in small sized skull. This would impede the growth of the developing brain resulting in developmental delay, mental retardation, blindness, deafness and even can pose risk to life, apart from presenting as obvious deformity raising aesthetic concerns. Surgery is the only option here. Pediatric surgeries today are very safe. There are several procedures that are available today. From creating space between the bones, expand the skull to advancing the orbital sockets forwards, the surgical options are many. With the advent of absorbable screws and plates, there is no interference in future growth of the skull following surgical correction. A single sitting, safe, functional and aesthetic correction is a reality, today!

expertise
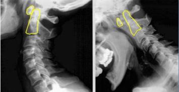
Atlanto Axial Dislocation (AAD)

Surgeries for AAD are considered to be very tricky, difficult and challenging. Over the years, the implants and techniques have evolved to a considerable safe surgical experience today. AAD is a serious threat to life, hence swift surgical treatment is imperative for positive outcome. C1/C2 instrumentation and distraction can stabilise the cranio vertebral junction (CVJ), resulting in correction of AAD.

expertise
Chiari Malformation / Syringomyelia Surgery

Chiari Malformation is a congenital condition where there is herniation of brain matter into the cervical Spine ( Neck). Often this condition is associated with water accumulation within the Spinal Cord, known as Syringomyelia. This can lead to severe disability, paralysis and loss of muscle bulk in the hands along with loss of touch, pain and other sensory disturbance. This condition is essentially treatable. Foramen magnum decompression, along with C1/C2 fusion and Obexoplasty are choice of treatment. Early surgery can ensure reversal of symptoms and structural damage. Awareness is the key here.

expertise
Spinal cord tumour

Tumours of the spinal cord can either arise from within or outside of the cord. They often present with pain, sensory issues and sometimes paralysis. A spinal tumor can be life-threatening and cause permanent disability. Microsurgical excision under IONM ( intra-operative neuro monitoring) is the mainstay of treatment. Complete functional recovery is practical, today. Along with surgery, radiation therapy & chemotherapy are adjuvant therapeutic options depending upon the nature of the tumour

expertise
Koch's Spine / Pott's Spine / Spinal TB / Tuberculosis

Tuberculosis of the spine is still a major endemic issue in the developing world. Often these patients do not present with active chest tuberculosis. The caseation necrosis of tissues here, results in destruction of the spine resulting in gross instability. The granulomatous material and cold abscess can cause severe compression of the spinal cord. Effective treatment is decompression of the spinal cord, stabilisation of the spine, obtaining tissue for histopathological confirmation and followed by long term course of anti tubercular medications, with periodical followups.

expertise
Diastematomyelia / Split cord malformations / Neural tube defects

The incidence of NTD's ( Neural tube defects) has largely reduced, today. This can be attributed to folic acid supplementation in early pregnancy. The NTD's include: Open defects such as Myelocele, Meningolcele, Myelomeningocele, and closed defects such as Spina Bifida, Lipomyelomeningocele and Diastematomyelia. Surgery can be safely performed in as early as first day of the baby's life, today. Often these condition causes tethering of the cord. Closure of the exposed wound with internalisation of the neural tissue, de-tethering of the tethered cord and neural tissue are main goals of the surgery. Early surgery can often restore neurological function.

expertise
Slip Disc

Discogenic pain and associated Slip Disc issue has an high life time incidence in any given individual. This is largely attributed to the changing sedentary lifestyle, poor food habits, smoking and obesity that is prevalent in the current society! The discs in humans are avascular, and are dependent on mobility for nourishment. In other words, Movement is Life. Prevention involves adopting healthy lifestyle. No more anyone has to endure pain and suffering from disc disorders. There is definite cure for slip disc. In lumbar spine, the treatment options are simple micro & endoscopic lumbar discectomy (MLD), transforaminal lumbar interbody fusion (TLIF). While in cervical spine, the options are anterior cervical discectomy and fusion (ACDF) and artificial disc replacement (arthroplasty). all of these can be performed as day care surgeries or very short stay surgeries.

expertise
Scoliosis Surgery

Scoliosis is a medical condition characterised by an abnormal sideways (lateral / coronal) curvature of the spine. While it can affect people of all ages, it is most commonly diagnosed in children and adolescents.Parents should watch for early signs of scoliosis in their children, especially during growth spurts. If any asymmetry is noticed in child’s shoulders, hips, or waist, a doctor consult for further evaluation is a must. Surgical correction of scoliosis, kyphosis and Spinal deformities are safe today. Advances in Neuro - anesthesia and intraoperative neuro monitoring have revolutionised this sphere. In today's world, Scoliosis need not hinder one’s quality of life if timely management is undertaken. This requires a larger awareness about this condition. By understanding the signs, seeking timely medical advice, and supporting awareness initiatives, we can make a significant impact on the lives of those affected by scoliosis.

expertise
Osteoporosis / kyphoplasty

Osteoporosis or weak bones, is a natural phenomenon that happens with aging. The word ‘osteoporosis’ means ‘porous bone.’Weak bones results in fractures, delayed healing of fractures and often progression of fractures into non-union and deformity, especially in geriatric age group. Osteoporosis is called a “silent disease” because people who develop it may not notice any changes until a bone breaks — usually a bone in the hip, spine, or wrist.Spinal fractures do not heal as easily as elsewhere.The larger issue is instability of the spine, which in turn can result in injury to the spinal cord and consequent paralysis. An irreversible & miserable condition. Best treatment option would be kyphoplasty, a quick, simple, day care procedure, where the patient can return home in the same evening – pain free and walking! followed by appropriate medical management of Osteoporosis.

Dr. Murali Mohan S's Expert Tips & Health Insights

Latest

While, My Reflections

Spine Series

Articles by Dr. Murali Mohan S

https://d2vvc091k8tmib.cloudfront.net/s3fs-public/2026-02/Moments.jpg
https://d2vvc091k8tmib.cloudfront.net/s3fs-public/2025-10/Dr.%20Murali%20Mohan%20.webp
By: Dr. Murali Mohan S
06 February 2026

Moments: The reflection of life as it unfolds

While: A reflective trilogy The Journey · Moments · Presence Moments: This reflection follows The Journey, not to answer its questions, but to notice life as it unfolds.
Read More
https://d2vvc091k8tmib.cloudfront.net/s3fs-public/2026-02/Moments%20%281%29.jpg
https://d2vvc091k8tmib.cloudfront.net/s3fs-public/2025-10/Dr.%20Murali%20Mohan%20.webp
By: Dr. Murali Mohan S
06 February 2026

While - the trilogy: The Journey · Moments · Presence

This is not a search for answers. It is a pause within time.
Read More
https://d2vvc091k8tmib.cloudfront.net/s3fs-public/2025-10/Add%20a%20heading%20%284%29%202.jpg
https://d2vvc091k8tmib.cloudfront.net/s3fs-public/2025-10/Dr.%20Murali%20Mohan%20.webp
By: Dr. Murali Mohan S
16 October 2025

7 Point Spine Starter Guide: Simple steps to nurture your Spine

This 7-point Spine Starter Guide provides simple, daily steps to improve your spinal health. Remember to listen to your body, prioritise consistency, and seek medical advice if you experience any red flags. Incorporate these tips into your daily routine for a healthier, happier spine!
Read More
https://d2vvc091k8tmib.cloudfront.net/s3fs-public/2025-10/Add%20a%20heading%20%283%29_1.jpg
https://d2vvc091k8tmib.cloudfront.net/s3fs-public/2025-10/Dr.%20Murali%20Mohan%20.webp
By: Dr. Murali Mohan S
16 October 2025

Invest in Your Spine: World Spine Day 2025

This blog post, emphasises the importance of investing in your spine, especially on World Spine Day- a good day to start. It highlights the benefits of proactive spinal care, provides actionable tips for maintaining a healthy spine through posture, regular breaks, and gentle core strengthening, and draws an analogy to financial investment for long-term spinal well-being. do also read & follow the '7 point Spine Starter Guide' - is the followup blog in series on Spine Health.
Read More
https://d2vvc091k8tmib.cloudfront.net/s3fs-public/2025-08/WhatsApp%20Image%202025-08-26%20at%2018.48.15_b0e96783.jpg
https://d2vvc091k8tmib.cloudfront.net/s3fs-public/2025-10/Dr.%20Murali%20Mohan%20.webp
By: Dr. Murali Mohan S
30 June 2025

Built to Solve: Why Innovation in India Needs a New Lens

Innovation. The word is everywhere — in pitch decks, hackathons, and conference slogans. But when you work on the frontlines of healthcare in India, you realize something deeper: innovation must begin where the need is greatest, not where the spotlight shines brightest.
Read More
https://d2vvc091k8tmib.cloudfront.net/s3fs-public/2024-06/art_2.jpg
https://d2vvc091k8tmib.cloudfront.net/s3fs-public/2025-10/Dr.%20Murali%20Mohan%20.webp
By: Dr. Murali Mohan S
29 June 2024

Raising Awareness About Scoliosis

In my experience, I've encountered children with significant spinal deformities, where evident scoliosis was missed and only discovered by the child or parent during their teenage years. Despite being a condition that can often be treated, scoliosis frequently goes unnoticed until it becomes more severe. This is partly due to a lack of awareness among the general public and, at times, even among healthcare professionals. Since children may not experience pain or other symptoms in the early stages, detection can be delayed. Early identification is vital for effective treatment and better outcomes. Regular screenings and increased public awareness are essential to detecting scoliosis early and preventing severe deformities.
Read More
https://d2vvc091k8tmib.cloudfront.net/s3fs-public/2024-05/third%20eye.jpeg
https://d2vvc091k8tmib.cloudfront.net/s3fs-public/2025-10/Dr.%20Murali%20Mohan%20.webp
By: Dr. Murali Mohan S
27 May 2024

The Third Eye

The third eye is often associated with religious visions, the ability to perceive chakras and auras, and other spiritual experiences. In various cultural practices, such as Taoism and Zen, the third eye is central to certain meditative techniques. In Hindu mythology, the third eye of Lord Shiva is sometimes analogized to the pineal gland.
Read More
https://d2vvc091k8tmib.cloudfront.net/s3fs-public/2024-05/IMG_3392%202.jpg
https://d2vvc091k8tmib.cloudfront.net/s3fs-public/2025-10/Dr.%20Murali%20Mohan%20.webp
By: Dr. Murali Mohan S
27 May 2024

Life as a Neurosurgeon

The journey of becoming a neurosurgeon is a long and arduous one. It is a road filled with hard work and sacrifice that ultimately transforms a school kid into a neurosurgeon! Decades ago, not until late into medical school would one develop a liking for the subject. But usually the field is discouraged, as it is tough with its long hours of surgery, serious and critically ill patients and their often, poor outcomes. But times have changed. Neurosurgery today is a lot safer and predictable. It is strange’, but thanks to the movie world and TV serials, a lot more kids today know what a Neurosurgeon is.
Read More
https://d2vvc091k8tmib.cloudfront.net/s3fs-public/2024-05/mindful-eating.webp
https://d2vvc091k8tmib.cloudfront.net/s3fs-public/2025-10/Dr.%20Murali%20Mohan%20.webp
By: Dr. Murali Mohan S
27 May 2024

Food Consciousness

Food is the cornerstone of life, influencing our health, fitness, and aging. The types, quantities, and timing of the food we consume are all crucial factors. Recent studies suggest that the key to reversing aging may lie in our gut, revealing that the secret to a long and healthy life is closely tied to what we eat.
Read More
https://d2vvc091k8tmib.cloudfront.net/s3fs-public/2024-05/journey%20of%20life.webp
https://d2vvc091k8tmib.cloudfront.net/s3fs-public/2025-10/Dr.%20Murali%20Mohan%20.webp
By: Dr. Murali Mohan S
27 May 2024

Journey Of Life

As a neurosurgeon, I navigate through the collective consciousness, witnessing both the pain and suffering as well as the remarkable optimism and positivity that exist within it. This unique perspective prompts deep philosophical reflection on the meaning of life. In these uncertain and challenging times, I hope my thoughts resonate and bring meaning to our otherwise fast-paced lives, which many of us traverse without taking the time for introspection.
Read More
https://d2vvc091k8tmib.cloudfront.net/s3fs-public/2024-05/aging%20paradox.webp
https://d2vvc091k8tmib.cloudfront.net/s3fs-public/2025-10/Dr.%20Murali%20Mohan%20.webp
By: Dr. Murali Mohan S
27 May 2024

The Aging Paradox

The 21st century has dramatically transformed our standards of living. We now enjoy a level of comfort unimaginable just a century ago, leading to a rapid shift in our lifestyle within a remarkably short period in human history. Advances in science have granted us access to food, comfort, and longer lifespans. However, this transition has come at a significant cost to the quality of our health.
Read More

Podcasts by Dr. Murali Mohan S

Frequently Asked Questions

Sort By:

Frequently Asked Questions

Is neurosurgery safe for infants and children? It sounds so risky to operate on a baby’s brain or spine.

It’s completely understandable to be anxious about a child undergoing neurosurgery. However, pediatric neurosurgery today is highly advanced and very safe in expert hands. Children’s bodies (and brains) actually heal faster and better than adults in many cases. Dr. Murali and pediatric neurosurgeons like him have training and experience specifically in the delicate care that children require. Surgeries on babies – even newborns – have been done successfully when needed. In fact, brain surgeries for conditions in infants (even just-born babies) can be performed with utmost safety. We use specialized pediatric anesthesia teams (to ensure the child is pain-free and stable during surgery) and tools that are appropriate for smaller bodies. Advances in technology, such as neuronavigation (like a GPS for the surgeon) and microscopes, apply to children’s surgeries as well, making them precise. One important aspect is that kids are resilient – a child’s brain can adapt and bounce back amazingly well after, say, removal of a tumor or correction of a defect, especially if the surgery is done early enough to prevent damage. We also pay extra attention to the child’s comfort and developmental needs: for example, we involve pediatric intensivists, neurologists, and rehab specialists in the care. The outcomes in pediatric neurosurgery are often excellent. The track record for pediatric neurosurgical procedures is very reassuring. Our team will take every precaution and treat your child as if they were our own. Many parents find that after the successful surgery, their biggest reward is seeing their child return to smiling, playing, and developing on track – and that is our biggest reward too. In summary, yes, neurosurgery in children is safe and often life-saving or life-changing, and it’s conducted with the highest level of care and compassion for our little patients

Can children get brain or spinal tumors, and what is the outlook for a child with a tumor?

Unfortunately, children can develop tumors in the brain or spine. In fact, brain tumors are the second most common type of childhood cancer (after leukemia). The types of tumors children get are often different from adult tumors – for example, juveniles might develop medulloblastomas, pilocytic astrocytomas, ependymomas, or others. The good news is that many pediatric brain tumors are quite treatable. Treatment usually involves surgery (to remove as much of the tumor as safely possible) and may be followed by chemotherapy or radiation therapy, depending on the tumor type. Children actually often handle chemotherapy better than adults, and special protocols exist to treat pediatric tumors. The prognosis or outlook varies by tumor type and location, but it has improved dramatically over the past few decades. While the word “tumor” is scary, families can take heart that there is a lot of hope – most pediatric tumors can be treated, and the majority of children survive and even thrive after treatment

What is craniosynostosis and why does it require surgery in a child?

Craniosynostosis (sometimes called craniostenosis) is a condition in which one or more of the sutures in a baby’s skull close (fuse) too early. These sutures are like expansion joints that allow the skull (and brain) to grow. When a suture fuses prematurely, it can lead to an abnormally shaped head and, more importantly, can constrain the growing brain. If not corrected, it might cause increased pressure on the brain and potential developmental issues. Early surgery is the treatment for craniosynostosis. The neurosurgeon  will open the fused suture and reshape the skull bones. This procedure, done in infancy (usually before 1 year of age, often around 6–9 months old), allows the brain to grow normally and also improves the head’s shape. Cosmetic correction isn’t just about appearance – a more typical skull shape can positively impact the child’s social and psychological development, as the child won’t have to grow up with an unusual head shape. The surgery might sound daunting, but it is generally very successful. Babies’ skulls are soft and heal quickly. After the expansion surgery, the brain has the space it needs, and typically the child’s development proceeds normally. In short, craniosynostosis is a mechanical issue (bones fused too early) that we fix mechanically (by reopening and correcting the bones), and doing so early prevents brain damage and sets the child up for normal growth

What is hydrocephalus in children, and how do you treat it?

Hydrocephalus is often known as “water on the brain.” It’s a condition where the cerebrospinal fluid (CSF) that bathes the brain doesn’t circulate or drain properly, causing an excess of fluid in the brain’s ventricles (hollow spaces). In infants and children, this can make the head enlarge and put pressure on the developing brain, leading to symptoms like a rapidly growing head size, bulging soft spot, seizures, or developmental delays. The good news is that hydrocephalus can be very effectively treated. The most common treatment is placing a VP shunt (ventriculoperitoneal shunt). A shunt is a thin, flexible tube that neurosurgeons implant; it diverts the extra fluid from the brain to another part of the body (usually the abdomen) where it can be absorbed. This relieves the pressure on the brain. Another treatment in some cases (especially older children) is an endoscopic third ventriculostomy (ETV), where using a tiny camera, the surgeon creates a small hole in one of the ventricle walls to bypass the blockage and let fluid flow out normally, sometimes avoiding the need for a shunt. With timely diagnosis and treatment, children with hydrocephalus can lead normal, healthy lives. 

What are neural tube defects like spina bifida, and can they be treated?

Neural tube defects are birth defects of the brain or spine that occur very early in pregnancy (when the neural tube, which forms the spinal cord and brain, doesn’t close properly). One common example is spina bifida (myelomeningocele), where a portion of the spinal cord and nerves develop outside the body, often in a sac on the baby’s back. These conditions can sound scary, but yes, they can be treated. In fact, for spina bifida, surgery is usually done within the first one or two days of a baby’s life to gently place the spinal cord and nerves back inside and close the opening. This prevents infection and further injury to the spinal cord. The early surgery greatly improves outcomes – it protects the nerves from ongoing damage. Some children with spina bifida will have weak leg movement or need assistance devices later, but many go on to live active lives, especially with modern therapies. Neural tube defects like encephalocele (where part of the brain protrudes through a skull opening) are also usually treated surgically early in life. The key point is: with timely neurosurgical intervention and follow-up care, babies born with these conditions can often be saved from severe disability and given a chance at a healthy life.

People say “avoid spine surgery at all costs” – are spine surgeries really that risky?

This is a common fear stemming from the past, but it’s largely outdated now. Decades ago, spine surgeries (for things like disc problems or spine injuries) had more variable outcomes, but technology and surgical skill have advanced leaps and bounds. Today, spine surgeons use tools like operating microscopes, neuronavigation, and intra-operative nerve monitoring, which greatly enhance safety. We can precisely remove problematic tissue (like a disc or bone spur) without harming surrounding nerves. Also, minimally invasive techniques mean smaller incisions, less muscle damage, and quicker recovery. As Dr. Murali Mohan notes, even complex spine deformity surgeries like scoliosis can now be corrected in a single stage without neurological complications, thanks to modern instrumentation and real-time monitoring. In fact, many spine surgeries that used to require long hospital stays are now done with early mobilization – some patients even go home within 24 hours for simpler procedures. Every surgery has some risks, but for a patient who truly needs it, spine surgery can be life-changing in a positive way – relieving pain, restoring mobility, and preventing long-term nerve damage. We always weigh the risks and benefits carefully. Remember, the goal is to improve your quality of life, not make it worse. With an experienced surgical team and proper patient selection, spine surgery today is very safe and often highly successful in doing just that.

I have a “slipped disc” in my back. Do I really need surgery, and is it safe?

A “slipped disc” refers to a disc prolapse or herniation, where one of the cushioning discs between your vertebrae bulges or ruptures and can press on nerves. Not all slipped discs require surgery – many improve with rest, physical therapy, or medications. However, if you have severe pain that doesn’t improve, significant leg pain (sciatica), numbness, or muscle weakness, or especially any bladder/bowel issues, then surgery might be the best option. The common surgery for this is a discectomy, where the herniated portion of the disc is removed to free the pinched nerve. This surgery is generally very safe and highly effective for relieving nerve pain. In fact, with modern techniques, a discectomy is often a minimal access or microsurgery done through a small incision. It can even be a day-care procedure now – patients often go home the same day and start walking immediately after surgery. The risk of complications like paralysis is extremely low (since we’re dealing with peripheral nerves, not the spinal cord in most lower back disc cases). Most patients notice a dramatic improvement in their leg or arm pain almost right after a successful disc surgery. So, if surgery is recommended because conservative measures failed, you can be reassured that it’s a routine, safe procedure with a high success rate.

If I have an unruptured aneurysm or AVM, should I get it treated right away?

This is an important discussion to have with the neurosurgeon. In general, if an aneurysm or AVM is considered high-risk for future rupture, treating it before it causes any harm is usually recommended. Factors like size, location, and your symptoms matter. For aneurysms, small ones (<5mm) in certain locations might be observed with serial scans, but larger ones or those with a concerning shape (bleb) often warrant treatment to preempt a bleed. For AVMs, doctors use a grading system to weigh the risk of surgery versus the risk of leaving it alone. Many unruptured AVMs, especially in younger patients, are treated electively because a successful treatment means you’re essentially cured and the lifelong risk of a brain bleed is gone. On the other hand, if an AVM or aneurysm is very small and in a very tricky location, sometimes monitoring might be advised – every case is unique. Rest assured, Dr. Murali Mohan S will carefully evaluate the specifics (for example, Is the aneurysm likely to rupture? Is the AVM in a part of the brain where treatment is very risky?) The decision is a balance of risks, but advances in treatment mean that if an aneurysm/AVM does need intervention, we have safe and effective ways to fix it. Many patients feel peace of mind after treatment, knowing they’ve been protected from a potential future hemorrhage. And indeed, outcomes are often excellent: treating a high-risk aneurysm early gives a patient a very good chance at a normal, healthy life without the worry of a rupture.

How are AVMs treated?

Treatment of an AVM is focused on preventing bleeding and improving the patient’s quality of life. There are a few options, and sometimes they are used in combination:

  • Microsurgical Removal (Resection): If an AVM is in a favorable location, a neurosurgeon can perform an open brain surgery to carefully remove the tangle of vessels. This immediately eliminates the AVM. In fact, surgical removal is often the first choice for smaller AVMs or those causing symptoms, because once completely removed, the AVM is considered cured.
  • Endovascular Embolization: This is a minimally invasive procedure where a catheter is navigated into the AVM and special glue-like substances or coils are injected to block blood flow into the tangle. Embolization can shrink the AVM or reduce blood flow, making subsequent surgery safer or occasionally obliterating the AVM if it’s small. It’s often used as a pre-surgical or pre-radiation adjunct, though in some cases, a series of embolizations can significantly reduce an AVM.
  • Radiosurgery (Gamma Knife or similar): For smaller AVMs or those deep in the brain, a focused radiation treatment can be used. Highly focused beams of radiation cause the AVM vessels to scar and close off over time (typically 1–3 years). This is all done without any incision. Radiosurgery has a high success rate for appropriately sized AVMs, but it works gradually, and there is a risk the AVM could bleed in the meantime before it fully closes.

Often, a combination is employed – for example, an AVM might be embolized first to reduce its size, then surgically removed; or partially embolized and then treated with radiosurgery. The approach depends on the AVM’s size, location, and the patient’s overall condition. Dr. Murali and the team will discuss the best plan in your case. The ultimate goal is to completely eliminate the AVM or at least block it off so that it cannot bleed with as low risk as possible.

What is an AVM in the brain and what problems can it cause?

An AVM (Arteriovenous Malformation) is a tangle of abnormal blood vessels connecting arteries and veins in the brain (or spinal cord). It’s usually something people are born with (congenital), and over time it can cause trouble. An AVM creates a direct connection between arteries and veins, which can put a lot of pressure on those vessels. The biggest risk with an AVM is bleeding – if one of those vessels ruptures, it can cause a brain hemorrhage (bleed), similar to an aneurysm rupture. About half of brain AVMs are discovered only after they bleed. Besides bleeding, an AVM can also cause seizures, headaches, or neurological symptoms (like weakness or vision problems), because it can disrupt normal blood flow or press on brain tissue. Although AVMs are not cancer, they are serious because a rupture can lead to stroke, brain damage, or even death. The good news: AVMs can be treated to significantly reduce or eliminate these risks. Each AVM is unique in size and location, so treatment is individualized (it could be surgery, radiation, or other methods, as we’ll discuss next). Without treatment, there is a yearly risk of bleeding; with expert care, we aim to remove or obliterate the AVM and protect you from a potentially life-threatening hemorrhage

How are brain aneurysms treated? Do they always require open brain surgery?

Not always – there are two main approaches to treat an aneurysm and prevent it from bleeding: microsurgical clipping and endovascular coiling. In clipping, a neurosurgeon performs a craniotomy (opens a small window in the skull) and places a tiny metal clip across the neck of the aneurysm. This clip seals off the aneurysm so blood can’t enter it, effectively eliminating the risk of rupture. Clipping has been used for decades and is very effective, with a low chance of the aneurysm ever coming back. The other approach is coiling, which is minimally invasive (no big opening in the skull). In coiling, a neuro-interventionist threads a catheter through an artery (usually from the groin or wrist) up into the brain and then fills the aneurysm with soft platinum coils or uses tiny flow-diverting stents. Coiling works by clotting off the inside of the aneurysm from within, so it can’t fill with blood. Both treatments have their pros and cons: clipping is a one-time durable fix (aneurysm rarely recurs), but involves open surgery, whereas coiling is less invasive with typically quicker recovery, but sometimes aneurysms can recur and need future check-ups. The choice depends on the aneurysm’s size, shape, location, and the patient’s overall health. Dr. Murali Mohan S and his team will evaluate what’s safest and best for your specific aneurysm. The goal in both methods is the same – to secure the aneurysm so it will not bleed.

What is a brain aneurysm and why is it dangerous?

A brain aneurysm is a weak, bulging spot on an artery in the brain, somewhat like a thin balloon. The danger is that an aneurysm can leak or rupture (burst open), causing bleeding in or around the brain – this is called a hemorrhagic stroke or subarachnoid hemorrhage, and it can be life-threatening. A ruptured aneurysm often causes a sudden, severe headache (“thunderclap headache”), loss of consciousness, or worse. Without treatment, a ruptured aneurysm can have devastating, life-changing consequences. The good news is that if we discover an aneurysm before it ruptures (for example, incidentally on a scan or due to warning symptoms), we can treat it to prevent a rupture. Even if it has ruptured, emergency treatment can save a life and often prevent further damage. In summary, a brain aneurysm is serious, but with early diagnosis and proper treatment, the chances of making a full recovery are quite good.

What is recovery like after spinal cord tumor surgery?

Recovery can vary, but many patients do remarkably well. After surgery, you will be monitored in the hospital for a few days. You might be surprised that mobilization (getting up and walking) is encouraged quite early – often within a day or two (or even the same day for many surgeries) under the guidance of the medical team. Pain from the incision or muscles can be managed with medication, and physical therapy will help you strengthen your back and limbs. If you had any weakness or numbness before surgery, those symptoms may gradually improve as the spinal cord or nerves recover from being compressed – nerves heal slowly, so it might take weeks to months for the full extent of improvement. In general, the prognosis is good if the tumor is removed successfully. Many patients are able to resume normal activities after a period of rehabilitation. For instance, in one case, a young army soldier presented with the tumour arising within the spinal cord in the cervical spine. We had operated him on 11th August; and he hoisted the flag on the occasion of Independence Day on 15th August. He joined his duties in 3 months time and is now completing his service. While each person’s case is unique, your surgical team will provide a tailored recovery plan. The key point is that, with modern techniques, spinal surgeries aim to not just remove the tumor but also help you return to a pain-free, functional life as quickly as possible.

Will I need rods or screws (spinal fusion) after tumor removal?

Sometimes, yes. Certain spinal tumors involve not just the spinal cord but also the vertebrae (spinal bones) or the stability of the spine. If removing a tumor requires taking out part of a vertebra or destabilizes the spine, the surgeon will perform a spinal fusion in the same surgery to stabilize the area. This often involves placing screws and rods to support the spine’s structure. For example, tumors in the vertebral bone or surrounding the spinal cord can leave a gap or weaken the spine once removed – fusion bridges that gap and prevents any collapse or deformity. The need for fusion depends on the tumor’s location and size. Rest assured, if fusion is done, it’s to make sure you can move around safely after surgery without risking injury, and to allow the spine to heal in the correct alignment. Fusion facilitates patients to return to normal activities after recovery, in quick time.

Can spinal cord tumors be cured with surgery?

Many spinal cord tumors can indeed be cured or effectively controlled by surgery, especially if they are benign. For example, tumors like schwannomas or meningiomas (common spinal tumors) are often benign and can be completely removed, which is curative. Even some intramedullary tumors (those inside the spinal cord), like certain ependymomas, can sometimes be fully resected and cured by surgery. If a tumor is malignant or metastatic, surgery can still be very beneficial: removing it relieves spinal cord pressure and pain, and it allows for other treatments (like radiation or chemotherapy) to work better on any remaining cancer. Each case is different – some small tumors that aren’t causing symptoms might be monitored rather than operated. But if a spinal tumor is operable and causing issues, surgery offers the best chance to alleviate symptoms and, in many cases, completely resolve the problem.

Is surgery for spinal cord tumors safe? I’m worried about paralysis.

It’s natural to worry, but modern spinal tumor surgery is performed with very high precision to protect the nerves. Neurosurgeons use the operating microscope and delicate instruments to carefully dissect the tumor away from the spinal cord. We also employ intra-operative neuro-monitoring – this means we continuously check the function of spinal cord and nerves during the surgery (using electrical signals) to ensure we’re not harming them. Over the past few decades, there have been huge advances: in the 1980s and 90s, outcomes were more uncertain, but today’s technology (like high-powered drills for bone, microsurgical techniques, and constant nerve monitoring) makes these surgeries much safer. Removing the tumor often improves neurological function if the tumor was compressing the cord. The risk of serious complication like paralysis is quite low in experienced hands, and your surgical team will discuss specific risks based on your case. Overall, the goal is to remove the tumor completely (or as much as safely possible) while preserving and  improving your nerve function.

What is a spinal cord tumor and how can it affect me?

A spinal cord tumor is an abnormal growth that develops either within the spinal cord or in the area around it (such as the coverings of the cord or the spine bones). Such a tumor can press on the spinal cord or nerves, leading to symptoms like back or neck pain, numbness or tingling in the limbs, weakness, or difficulty walking. Some spinal tumors are primary (originating in the spine) and often these are benign, like meningiomas or schwannomas. Others might be malignant or metastatic (spreading from cancers elsewhere). Regardless of type, if the tumor is causing neurologic symptoms or spinal instability, surgery is usually considered to remove it and relieve pressure on the spinal cord, which can prevent permanent nerve damage.

Will surgery cure my brain tumor, and what is the recovery like?

If the tumor is benign, surgery often cures it completely. After a successful removal of a benign tumor, no further treatment may be needed beyond routine follow-up scans. If the tumor is malignant or very aggressive, surgery is usually the first step – it will relieve symptoms and reduce tumor size, but additional treatments (like radiation or chemotherapy) may be recommended afterward to target any remaining tumor cells. As for recovery, it varies with the complexity of surgery and the patient’s condition. Many patients are awake and talking later the same day of surgery or by the next day. You might spend a couple of days in the ICU or hospital for monitoring. In patients who present late with neurological issues, thanks to refined techniques, rehabilitation is much faster now – most people can start gentle activities within days. The full recovery can take a few weeks to a few months, but patients often return to their normal routines much sooner than they expect, especially with the support of physiotherapy and modern post-operative care. Importantly, if surgery is done before significant brain damage occurs, many patients experience a big improvement in symptoms (like headaches or seizures) after the tumor is removed.

How do surgeons avoid damaging the brain during tumor surgery?

Neurosurgeons take great care to protect normal brain tissue. First, detailed imaging (MRI, etc.) helps us plan a safe path to the tumor. During surgery, we often use a powerful operating microscope for magnification, giving a very clear view of tiny structures. We also utilize neuro-monitoring – attaching electrodes to monitor brain and nerve function in real time – so if we get too close to critical areas, we know immediately. For tumors located in or near vital regions (like areas controlling speech or movement), we might employ an awake surgery technique as mentioned, where the patient can respond to tasks during the operation. This way, we map out essential brain functions and remove the tumor without causing neurological deficits. By combining these strategies, surgeons are able to maximize tumor removal and minimize risks of injury to the brain.

Is brain tumor surgery safe? How have outcomes improved in recent times?

Yes, modern brain tumor surgery is much safer than in the past, thanks to advanced technology and techniques. We now use high-resolution MRI scans and sometimes CT scans to map the tumor before surgery, and during the operation we have tools like intraoperative ultrasound and neuro-monitoring and high precision Neuro Navigation to guide us. Advanced Microscopes and Instruments such as CUSA helps the surgeon deal with difficult scenarios. These advances help surgeons achieve near-total removal of tumors while protecting healthy brain tissue. In some cases, we perform “awake craniotomy” for tumors near critical brain areas – the patient is kept comfortable and pain-free, but awake enough to follow commands, so we can test their speech or movements during surgery. This technique allows precise mapping of important functions and helps avoid any damage while removing the tumor. Overall, outcomes have improved dramatically – patients tolerate brain surgery better and recover faster today than a few decades ago.

Are all brain tumors cancerous, and does that change the approach?

No, not all brain tumors are cancerous. Many brain tumors (for example, meningiomas) are benign, meaning they do not spread to other parts of the body. But even benign brain tumors can cause symptoms (headaches, seizures, memory or vision changes, etc.) by compressing brain structures, so they shouldn’t be ignore. The good news is that benign tumors are often curable with surgery alone. Malignant (cancerous) brain tumors may require a combination of treatments – surgery to remove as much tumor as safely possible, followed by chemotherapy or radiation. The surgical approach is determined by the tumor’s location, type, and size. Your neurosurgeon will tailor the treatment to whether the tumor is benign or malignant, always aiming to maximize tumor removal while preserving your quality of life.

What is a brain tumor and why might surgery be needed?

A brain tumor is an abnormal growth of cells in the brain. Not all brain tumors are cancerous (malignant); many are benign (non-cancerous). However, even benign tumors can cause serious problems by pressing on normal brain tissue, so they often require treatment. Surgery is usually the first line of treatment for accessible brain tumors because removing the tumor relieves pressure on the brain. In benign tumors, surgical removal can even result in a complete cure. For malignant tumors, surgery helps by reducing the tumor’s size (tumor “burden”), which makes follow-up treatments like radiation or chemotherapy more effective. In short, surgery helps preserve brain function and can significantly improve symptoms.

What precautions should I take immediately after spine surgery?

Avoid sudden movements, bending, or twisting your spine. Use proper techniques to get out of bed, and follow strictly the advice regarding walking and wearing a brace as recommended.

How much weight can I lift after spine surgery?

Lifting should be limited to light objects, typically no more than 5 kilograms, during the initial recovery phase. Gradually increase lifting capacity as advised during follow-ups, based on your progress and strength. Its essential to gradually build the core strength along with regular exercises to increase the weight lifting capacity. 

Can spine surgery completely cure my condition?

While spine surgery can effectively alleviate pain and improve mobility, the overall success often depends on post-operative care and lifestyle changes. Adhering to the advice concerning do's and dont's, engaging in recommended exercises, and maintaining a healthy lifestyle are key to achieving long-term results.

Is pain normal after spine surgery?

Mild discomfort or pain is normal during the recovery period and typically improves over time. However, persistent, severe, or worsening pain should be promptly reported for further evaluation.

Are there any long-term restrictions after spine surgery?

In the long term, most patients can resume normal activities without major restrictions. However, it's advised to avoid heavy lifting, high-impact activities, and prolonged sitting for extended periods, especially during the first few months. Regular exercises and maintaining proper posture can help prevent future issues.

When can I return to work after spine surgery?

The timeline for returning to work depends on the nature of your job. For desk jobs or roles involving minimal physical activity, most patients can resume work within 1–2 weeks. For physically demanding jobs, the recovery period may be longer, and it's essential to follow the advice during follow-up consultations.

Will I need physical therapy after spine surgery?

Most patients are mobilized the same day after surgery, which significantly reduces the need for prolonged physical therapy. However, specific exercises or therapy are crucial to ensure optimal recovery. Spinal surgeries correct structural issues, but rebuilding muscular strength remains essential, emphasising the importance of tailored physical therapy and consistent exercise.

When can I resume normal activities after spine surgery?

Light activities can typically be resumed within a days, with most patients returning to their routine within two weeks. Strenuous activities, however, should only be undertaken after first consultation after the surgery. 

How long does it take to recover from spine surgery?

Recovery varies, but most patients start feeling better the same day in the evening and are encouraged to walk. Those who don’t walk the same day are ensured that they walk the next day! With such quick recovery, the confidence builds up and they can get back to their routine life in a maximum of 2 weeks.

https://maps.app.goo.gl/CgH98dCkUPf1b3sA6

https://maps.app.goo.gl/yoQctYsXkDqb2j2FA

https://maps.app.goo.gl/CtEdNVHNvpA3DUrX6

https://maps.app.goo.gl/JQ48HXpCMY1UGdSn9

Where do I avail surgical services of Dr Murali?

The In-patient admissions and surgical services of Dr Murali are available at Sparsh Hospitals, Hennur, Bengaluru, India. 

How do Foreign nationals schedule an appointment with Dr Murali?

The International / Foreign nationals can reach out @ +91 9900701080 by Whatsapp or Call, to schedule an appointment.

The may share the previous records and available reports with summary - for an online opinion.

Can I reschedule my appointment?

Yes, you may reach out with your request for rescheduling at your nearest convenient location ( Yelahanka / Jayanagar / Yeshwanthpur) by contacting us on +91 9900701080 / 9686911560

If you had booked the Appointment through the Smart Appointments on the Dashboard, you can cancel and rebook the appointment, all by yourself ; or reach out for help at the given numbers- above

How Do I schedule an online consultation with Dr Murali?

Dr Murali doesn't consult online. However, You can reach out with reports and detail on Whatsapp for a free opinion @ +91 9900701080

How do I book an appointment with Dr Murali

For Appointment at Sparsh Hospitals, Hennur; You can avail the option of 'Appointment Request', on LinQMD profile page of Dr Murali. Once the appointment is booked, you will get the Confirmation of Appointment from the Doctor's office.

For Appointments at Synapse Clinics at Yelahanka and Jayanagar, Please directly book the appointments through the Dashboard; Alternatively you may call up: 9900701080 / 9686911560

Can I avail Insurance ( cash less) facility for treatment?

Definitely yes, You can avail the facility. However the extent of coverage depends upon your policy terms with the policy provider.

You may reach out to our coordinator on +91 9900701080 / 9686911560 with your policy details to ascertain your Insurance coverage.

Link copied to clipboard!

Reach Dr. Murali Mohan S

Sparsh Hospitals, Hennur

Sparsh Hospitals, New Airport Road, Hennur, Bengaluru

Synapse Neuro Center, Jayanagar

538/2, 10th Main Road, 38th Cross, 5th Block, Jayanagar, Bengaluru, 560041

Synapse Health Care, Yelahanka

Major Akshay Girish Kumar Rd, Yelahanka Satellite Town, Yelahanka, Bengaluru, Karnataka 560064